Transformez votre sourire avec les mini-vis orthodontiques : la solution unique pour des résultats précis et durables
Obtenir un sourire parfaitement aligné et une occlusion idéale n’a jamais été aussi accessible grâce aux technologies orthodontiques modernes. Dans certains cas, il peut être indispensable de bénéficier d’un ancrage précis et contrôlé, offrant des résultats impossibles à obtenir avec les méthodes traditionnelles. Aujourd’hui, chaque patient peut profiter de solutions qui combinent efficacité, confort et prévisibilité, une opportunité unique dans l’histoire de l’orthodontie.
Mini-vis orthodontiques : un ancrage maximal pour des résultats exceptionnels
Les mini-vis spécialement conçues sont placées dans l’os mandibulaire ou maxillaire pour garantir un ancrage maximaldes appareils orthodontiques. Elles permettent de déplacer les dents avec une précision inégalée, sans compromettre la stabilité des autres dents. Grâce à cette technologie avancée, chaque mouvement est contrôlé, efficace et durable, donnant accès à des corrections complexes qui étaient autrefois difficiles ou impossibles.

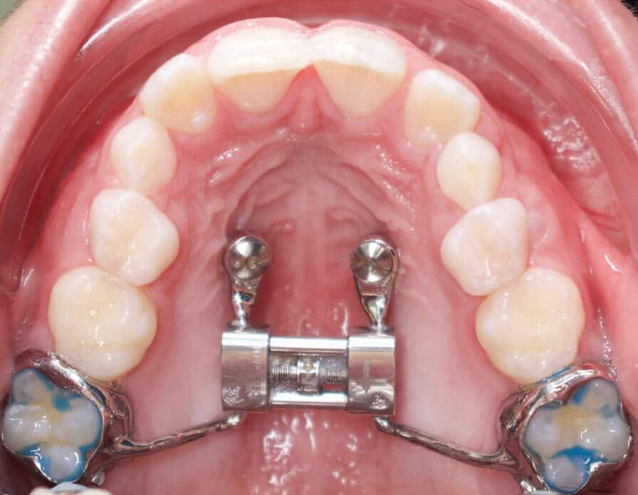
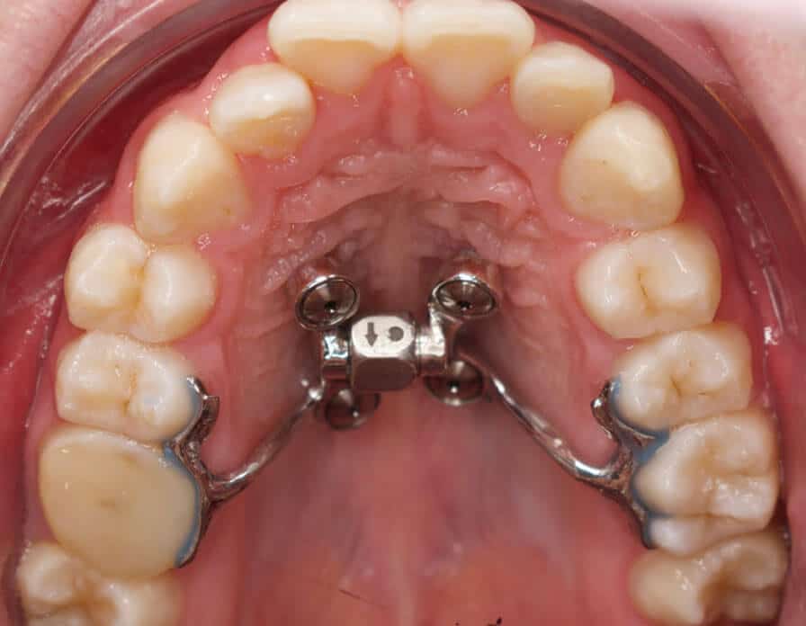
Appareil d’expansion maxillaire sur mini-vis : élargir le palais avec précision
Pour les palais très étroits ou chez les patients ayant dépassé l’âge de la jeune adolescence, l’expansion maxillaire sur mini-vis est souvent indispensable. Cet appareil permet d’élargir le palais de manière stable et contrôlée, offrant à chaque patient la chance de bénéficier d’un sourire fonctionnel et harmonieux, même dans des cas complexes. C’est une véritable révolution pour préparer l’alignement idéal des dents et maximiser les résultats orthodontiques.

Appareil de distalisation et de mésialisation : déplacer les dents avec précision
Pour avancer ou reculer les dents dans l’arcade dentaire, nos appareils de distalisation et de mésialisation, associés aux mini-vis, assurent un ancrage fiable et précis. Ces dispositifs permettent de positionner les molaires et les dents postérieures avec une exactitude exceptionnelle, tout en offrant confort et discrétion au patient.

Appareil de Herbst : corriger l’occlusion et stimuler la croissance mandibulaire
Pour repositionner la mâchoire inférieure, l’appareil de Herbst fixe permet d’avancer la mandibule, de stimuler la croissance et d’améliorer l’occlusion. Cet appareil fonctionnel contribue à un sourire harmonieux et une mastication optimale, tout en guidant le développement facial de manière naturelle.
Grâce à la combinaison des mini-vis et les appareils orthodontiques, chaque patient a accès à une solution unique, efficace et personnalisée. Ces technologies modernes permettent de créer des sourires harmonieux, équilibrés et durables, et offrent une transformation qui va bien au-delà de l’esthétique : c’est la confiance, la sécurité et la qualité de vie qui évoluent avec votre sourire.
Avant

Après

Avant

Avant
