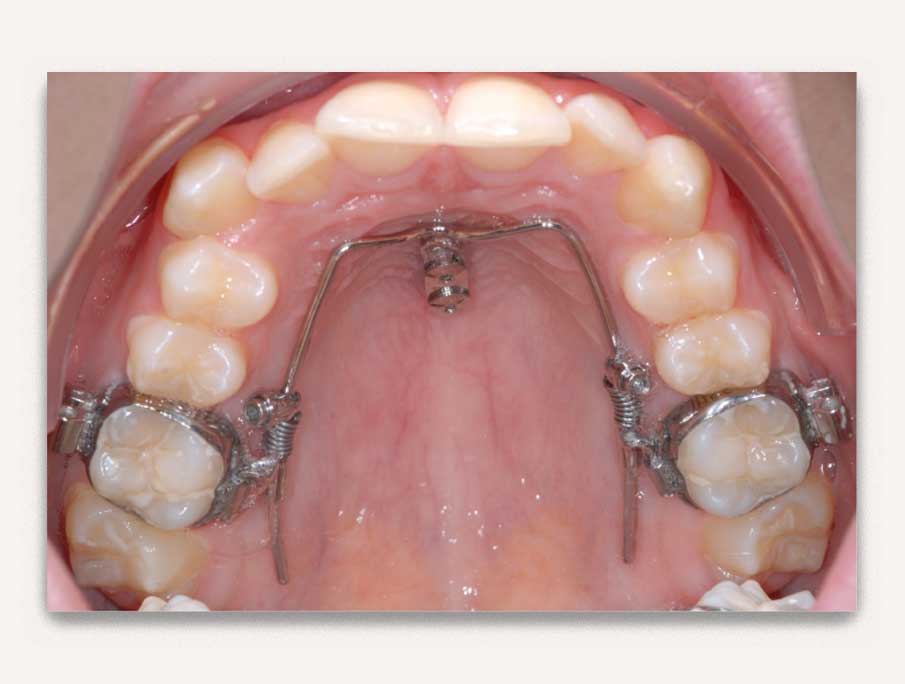
Dieses Implantat wird nur temporär eingesetzt und dient als vollständige Verankerung für eine kieferorthopädische Apparatur.
Dem physikalischen Gesetz actio = reactio folgend, nach dem jede Kraft eine Gegenkraft auslöst, können einzelne Zähne oder auch Zahngruppen kieferorthopädisch nur bewegt werden, wenn den dazu nötigen Kräften Gegenkräfte durch entsprechende Verankerung entgegengesetzt werden.
Leider werden dabei nicht nur die Zähne, die kieferorthopädisch repositioniert werden sollen, bewegt. Vielmehr trifft dies auch auf Zähne zu, die lediglich zur Verankerung der Gegenkräfte genutzt werden sollen. Um diesen Effekt des sogenannten Verankerungsverlustes zu vermeiden, kommen kieferorthopädische Implantate zum Einsatz.
Bitte beachten Sie, dass kieferorthopädische Implantate und Zahnimplantate einen völlig unterschiedlichen Zweck haben.
1965 Savièse