Offrez à votre enfant le sourire qu’il mérite pour qu’il développe sa confiance et ses relations sociales tout au long de sa vie.
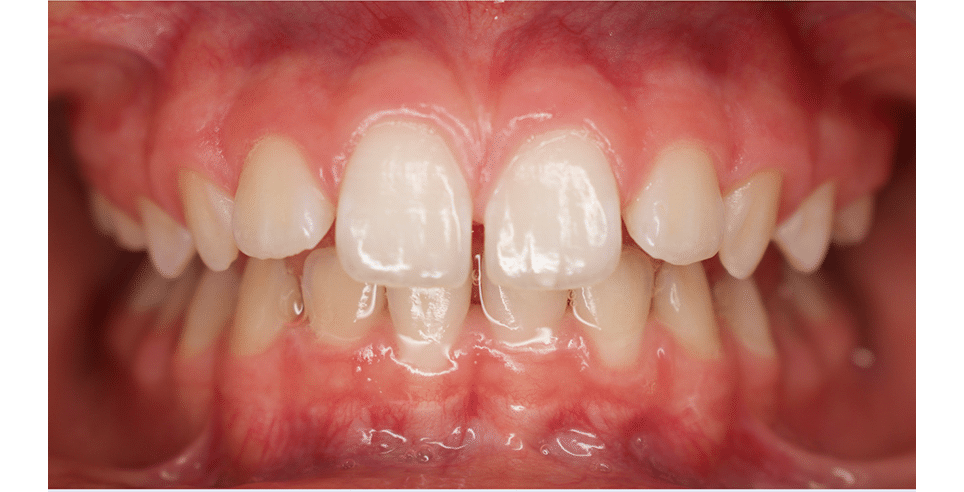
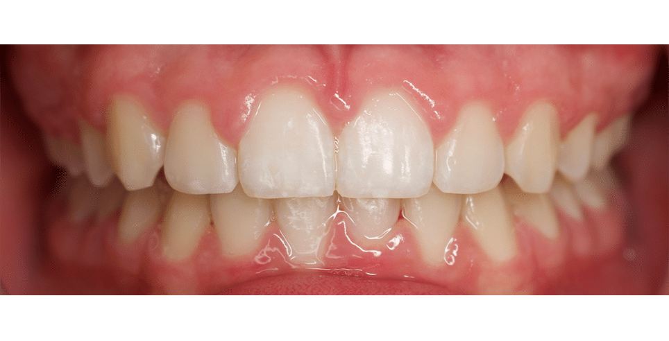
Pour que votre enfant ait des dents parfaitement alignées et un sourire confiant, les appareils fixes sont une option sûre et efficace. Ils permettent de corriger durablement les problèmes dentaires et offrent à votre enfant les meilleures chances de garder un sourire harmonieux toute sa vie.
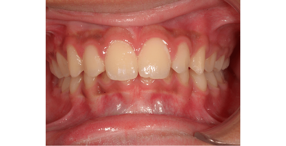
Un plan de traitement entièrement personnalisé
Chaque traitement commence par un plan sur mesure, basé sur une analyse approfondie et validée par notre orthodontiste. Ce plan prend en compte la dentition, la croissance et la complexité du cas de votre enfant, garantissant que chaque étape du traitement est ciblée, efficace et sécurisée.
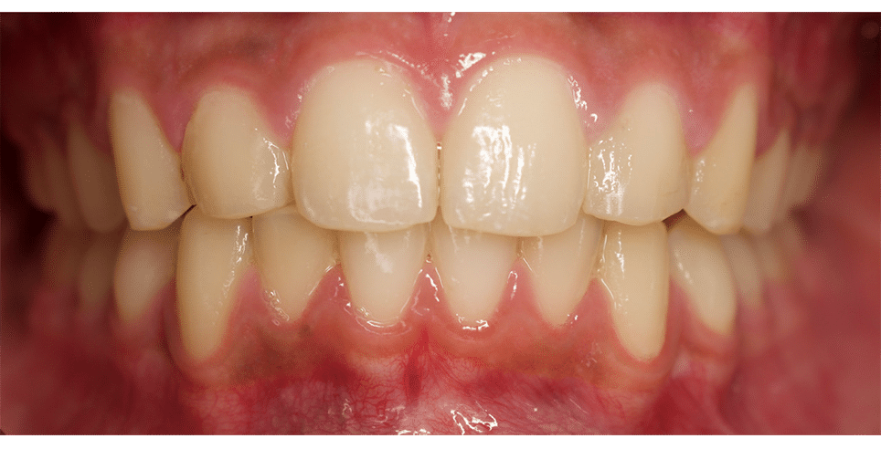
Investir dans l’avenir de votre enfant
Placer les appareils fixes dès que toutes les dents permanentes sont présentes, c’est investir dans le futur de votre enfant. Avec un plan de traitement personnalisé, vous avez la certitude que chaque décision est pensée pour maximiser l’efficacité et garantir un sourire magnifique et sain, durablement.
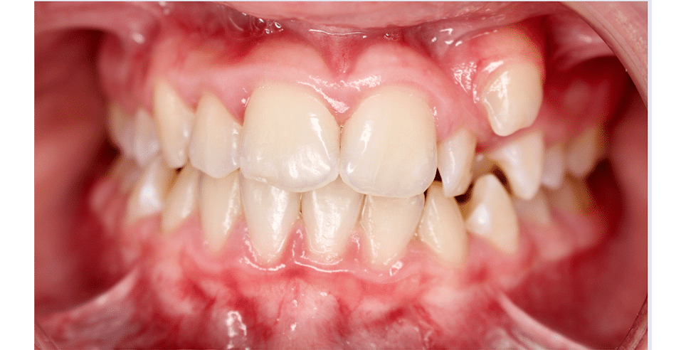
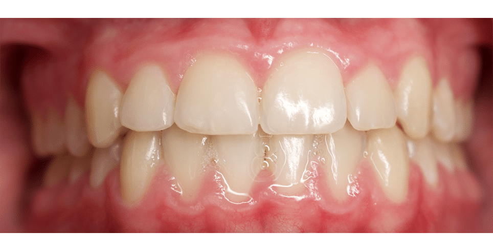
Comment fonctionnent les appareils fixes
Les appareils fonctionnent en plaçant de petites brackets sur chaque dent, reliées par un fil fin qui guide doucement les dents vers leur position idéale. Cette méthode permet non seulement d’aligner les dents, mais aussi de donner à votre enfant le sourire qu’il mérite, pour qu’il développe sa confiance et ses relations sociales tout au long de sa vie.
et leurs dispositifs
Multibagues
1965 Savièse





