Transformez votre sourire avec la microchirurgie esthétique
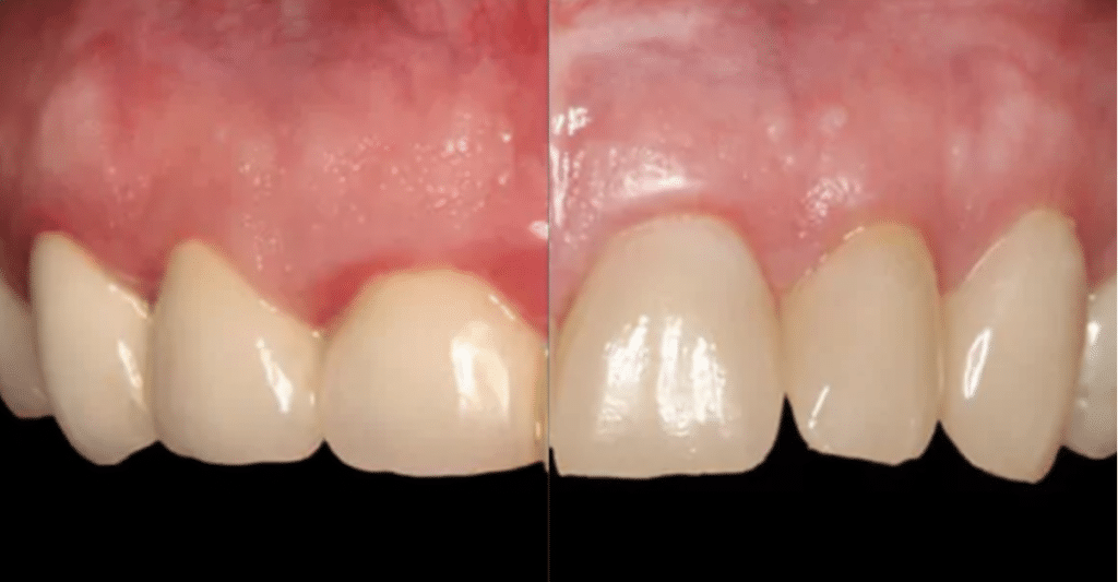
Un sourire harmonieux peut changer la façon dont vous vous sentez et dont les autres vous perçoivent. Grâce à notre expertise en microchirurgie esthétique des gencives, nous pouvons remodeler avec précision la ligne gingivale pour révéler toute la beauté naturelle de vos dents.
La procédure consiste à retirer l’excès de tissu gingival recouvrant la partie visible des dents, pour un sourire équilibré, lumineux et parfaitement proportionné. Cette intervention peut améliorer l’hygiène bucco-dentaire et renforcer la confiance en soi.
Nous utilisons un laser CO₂ de dernière génération, offrant une intervention rapide, précise et confortable, avec une récupération douce et des résultats durables. Après la séance, nos instructions personnalisées garantissent que vos gencives restent saines et votre sourire éclatant.
Investir dans votre sourire aujourd’hui, c’est transformer votre confiance pour toute la vie. Offrez-vous un sourire qui rayonne et reflète votre assurance à chaque instant.
