Notre vision

notre vision est d’impacter positivement la vie de nos patients à travers un sourire rayonnant et notre prise en charge de l’être humain dans sa globalité.
VISION
VISION
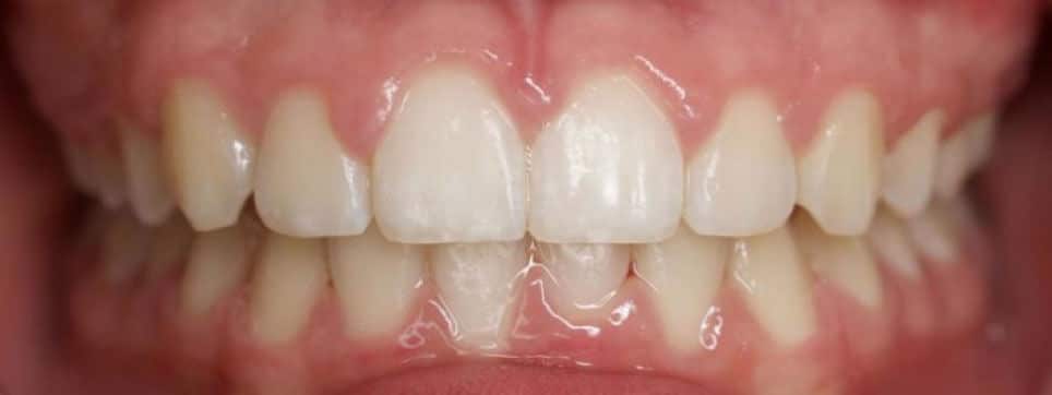
Elle a eu beaucoup de plaisir de venir chez vous tout au long de son traitement.
A beaucoup aimé l’accueil chaleureux.
Et elle a eu énormement confiance en vous et maintenant avec son beauc sourire elle est encore plus contente.
Et elle a même décidé de poursuivre ses études pour devenir un jour orthodontiste.
Vos mots qui nous touchent
sa confiance et ses relations sociales tout au long de sa vie.
- Plaque d'expansion
- Appareil fonctionnel
- Aligneurs
sa confiance et ses relations sociales tout au long de sa vie.
- Appareil céramique/métallique (bagues)
- Appareil de Herbst
- Aligneurs
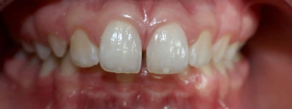
la confiance en vous.
- Appareil en céramique (bagues)
- Aligneurs
Pour les rendez - vous
Créons un sourire sur votre visage
Notre cabinet d’orthodontie, situé à proximité de Sion, accueille enfants, adolescents et adultes pour des traitements orthodontiques personnalisés. Nous vous recevons dans un environnement moderne et professionnel, facilement accessible depuis le centre de Sion.
NUMÉRO D’URGENCE VALAIS
0900 144 044CHF 0.50 L'APPEL + CHF 2.00 PAR MINUTE – TARIF D'APPEL DEPUIS UN RÉSEAU FIXE.
1965 Savièse