Révélez le sourire qui sommeille en vous — et laissez votre confiance faire le reste
Avez-vous déjà pensé à l’impact qu’un sourire harmonieux peut avoir sur votre confiance, vos relations et votre bien-être ?
À l’adolescence comme à l’âge adulte, corriger l’alignement des dents n’est pas qu’une question d’esthétique : c’est souvent un véritable déclic personnel.
Avec Invisalign, vous pouvez améliorer votre sourire en toute discrétion, sans les appareils dentaires métalliques traditionnels.
Invisalign : une orthodontie presque invisible
Invisalign est une solution moderne et efficace pour traiter de nombreux problèmes orthodontiques chez les adolescents et les adultes.
Les gouttières sont transparentes, confortables et quasi invisibles — la plupart des personnes autour de vous ne remarqueront même pas que vous suivez un traitement.
Conçues pour s’intégrer parfaitement à votre quotidien, elles vous permettent de préserver pleinement votre vie active, sans impact sur vos activités sociales, sportives ou professionnelles. Vous avancez dans votre traitement sans renoncer à ce qui compte pour vous.
Vous pouvez ainsi sourire librement pendant toute la durée du traitement… et bien sûr après.
Une technologie de pointe pour transformer votre sourire
Grâce à une technologie numérique de pointe, chaque traitement est entièrement personnalisé et adapté à vos besoins. Dès le départ, vous pouvez visualiser l’évolution de votre sourire et le résultat final, avant même de commencer. Cette projection apporte une vraie sérénité : vous savez où vous allez, étape par étape, en toute confiance.
Les empreintes numériques, les photographies et les radiographies permettent une analyse complète et approfondie, garantissant une transformation maîtrisée, harmonieuse et durable. Rien n’est laissé au hasard.
Tout au long du parcours, vous êtes accompagné avec attention. Du diagnostic initial à la stabilisation finale du résultat, le cabinet prend en charge chaque détail, pour que vous puissiez vous concentrer sur l’essentiel : retrouver le plaisir de sourire, avec confiance et fierté.
Comment fonctionne le traitement Invisalign ?
Le traitement Invisalign repose sur une série de gouttières transparentes, fabriquées sur mesure pour s’adapter parfaitement à votre sourire.
Chaque gouttière est portée environ 22 heures par jour, puis remplacée toutes les 1 à 2 semaines, afin de déplacer les dents progressivement et en douceur vers leur position idéale.
Dès le départ, un plan de traitement entièrement personnalisé est établi. Il repose sur une analyse approfondie de votre situation et est validé par une orthodontiste experte, afin de répondre précisément à vos besoins et à vos attentes.
Grâce à la simulation 3D, vous pouvez visualiser l’évolution de votre sourire et le résultat final avant même le début du traitement. Cette projection claire et rassurante permet un résultat prévisible, maîtrisé et sans surprise.
Tout au long du traitement, un suivi rigoureux est assuré avec : des contrôles réguliers, des ajustements de finition si nécessaire, des gouttières de contention pour stabiliser durablement le résultat, un suivi après traitement pendant les 12 premiers mois.
Vous avancez ainsi sereinement vers un sourire aligné, en gardant le contrôle, la liberté et la confiance à chaque étape.
Investir dans votre sourire, aujourd’hui et pour longtemps
Choisir Invisalign, c’est opter pour une solution discrète, confortable et efficace, sans compromettre votre quotidien.
C’est aussi faire un choix durable pour votre santé bucco-dentaire et votre confiance en vous.
Que vous soyez adolescent ou adulte, il n’est jamais trop tôt — ni trop tard — pour retrouver le plaisir de sourire pleinement.
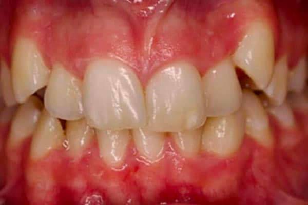
Avant

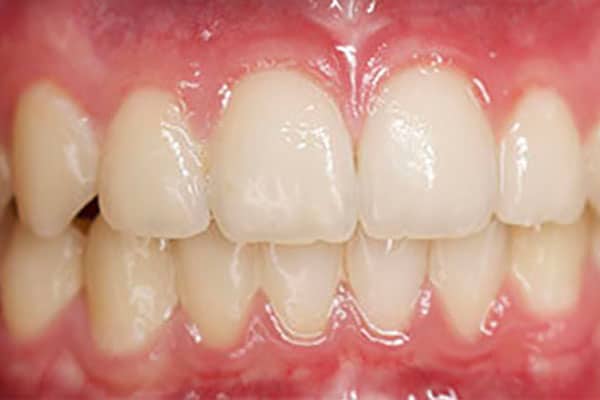
Après

Avant

Après

Avant

Après
